Aesthetic Excellence
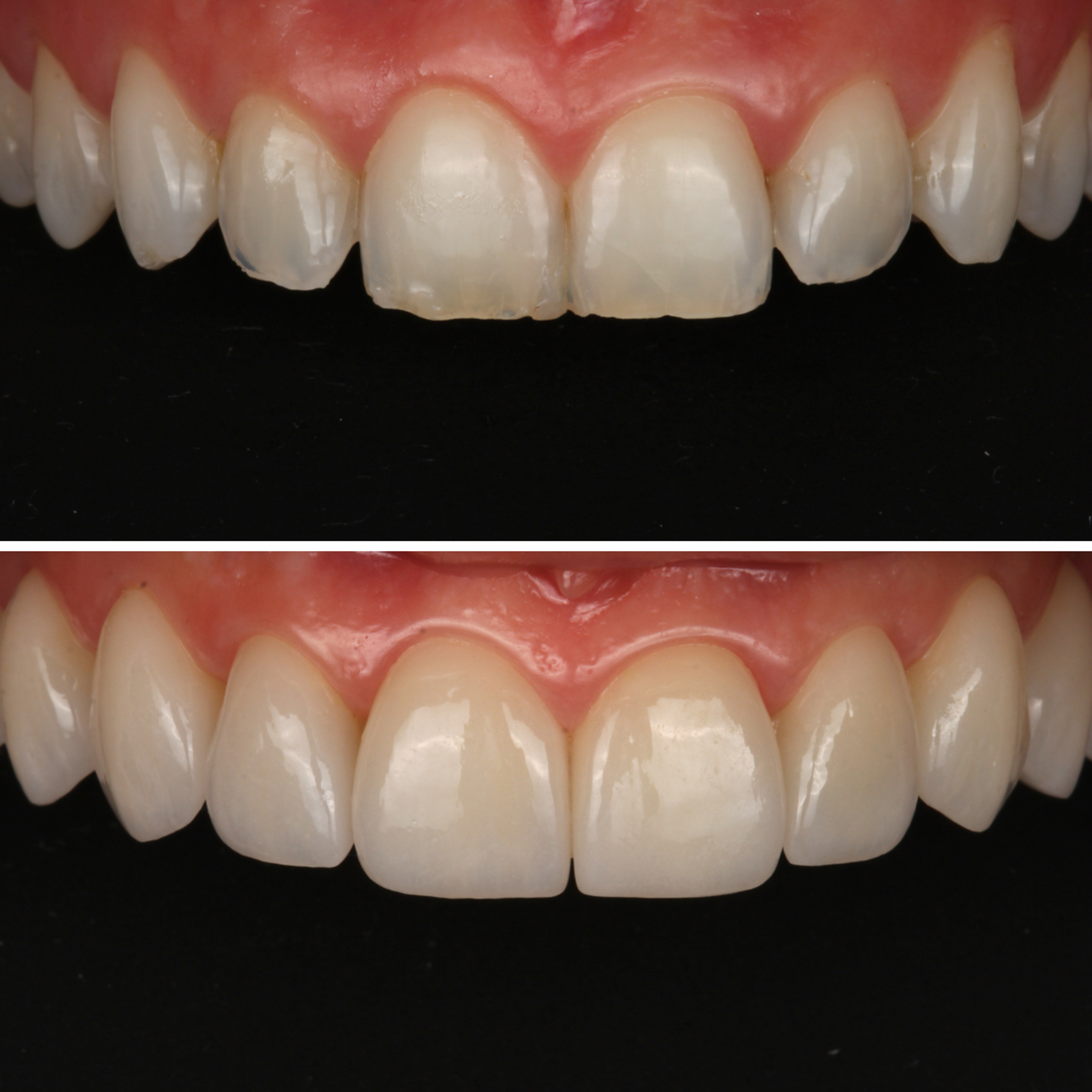
Porcelain Veneers
Your smile is the first thing people notice. We believe it should be stunning, but still unmistakably yours. Every set of veneers we create is one of a kind, designed for your face and crafted by our in-house lab team.


Our Approach
Artistry Meets Precision
We study your facial proportions, lip dynamics, and gum architecture before designing a single veneer. The goal is a smile that feels like yours, just the best version of it.
Our prosthodontist and lab designers work side by side, refining every detail through direct collaboration, not through photos sent to an external lab. This is a workflow refined over ten years by our founder, Dr. Faraj Edher, across thousands of veneers and hundreds of patients.
The result is a smile that looks stunning when you laugh, when you talk, when you're not thinking about it at all.
Your Journey
The Process
Consultation & Discussion
We start with your goals: what you want to see when you smile. Our prosthodontist evaluates your teeth and gums, and studies how your smile sits within your lips and face, so the result complements your features as a whole. Together we discuss what's possible and what approach makes sense for you.
Design & Planning
We take digital impressions and detailed photography, which our prosthodontist and lab designers use together to develop your virtual smile design. From there, we refine shade, shape, and proportions, mapping out the path from where you are now to where you want to be.
Preparation & Temporaries
If preparation is needed, your teeth are minimally reshaped, often removing less than half a millimeter. Temporary veneers are placed so you can see and feel the direction while your final porcelain is being crafted.
Final Porcelain Veneers
Our ceramists craft each veneer individually, refining shade, texture, and translucency until the result is beautiful and seamless. Once complete, your prosthodontist bonds each veneer with precision, and your new smile is yours.
Our Techniques
Preserving Your Natural Teeth
Advanced materials and adhesive techniques allow us to create exceptionally thin veneers, meaning less preparation, more of your natural tooth preserved, and beautiful, lasting results.
Common Questions
Good to Know
How long do porcelain veneers last?
With proper care, 10 years or more. The quality of the porcelain, the precision of the bonding, and the craftsmanship of the lab all contribute, which is why we keep everything under one roof.
How many veneers will I need?
There's no standard number. Some patients address a few teeth, others choose a full smile transformation. It depends entirely on your goals, and we design the right plan during your consultation.
Will they look like real teeth?
They'll look like the smile you've always wanted: beautiful, but still authentically yours. We design around your facial proportions, gum line, and lip dynamics so the result is stunning without ever looking artificial.
Is the process painful?
Preparation is done under local anesthesia and most patients experience minimal discomfort. Because our approach preserves so much natural tooth structure, the process is gentler than what many patients expect.
What are Lumineers and do you offer them?
Lumineers are a branded no-prep veneer system: ultra-thin shells bonded without removing enamel. We don't use branded systems like Lumineers because we custom-design every veneer for each patient's unique facial proportions, shade, and tooth anatomy. Our in-house lab crafts each veneer individually rather than relying on a standardized product, which gives us far more control over the final result.
Do porcelain veneers stain?
Porcelain resists staining far better than natural enamel or composite. Coffee, wine, and tea don't absorb into the surface the way they do into teeth. The bonding edges — where porcelain meets the tooth — can pick up surface stain over time with certain habits, which is why regular professional cleanings matter. Your veneers will look as they did the day they were placed for years to come.
What's the difference between porcelain and composite veneers?
Porcelain is a stronger, more stain-resistant material that maintains its appearance over time, typically lasting 10 years or more. Composite is applied directly to the teeth in a single visit and can work well for minor changes, but it's more prone to wear and staining over the years. We generally recommend porcelain for patients looking for a lasting transformation, and composite for smaller, more targeted improvements.
What's the difference between veneers and crowns?
Veneers cover the front surface of a tooth. Crowns cover the entire tooth. Veneers are used when the underlying tooth is healthy and the goal is primarily aesthetic — changing shape, color, or proportion. Crowns are used when a tooth has been significantly compromised by decay, fracture, or large old restorations and needs full structural protection. We recommend the most conservative option that achieves the right result.
What are laminate veneers?
Laminate veneers is another term for porcelain veneers: thin shells of porcelain bonded to the front surface of your teeth. Whether you've heard them called dental laminates, porcelain laminates, or laminate veneers, they refer to the same thing. The key difference between practices is how they're designed and crafted. At Transcend, every laminate veneer is custom-made by our in-house ceramists in direct collaboration with your prosthodontist.
What should I expect with temporary veneers?
Temporaries are placed after preparation while your final porcelain is being crafted. They protect your teeth and give you a preview of the shape and proportions. They won't feel exactly like your final veneers; they're a functional placeholder, not the finished product. Some sensitivity and adjustment is normal. We provide detailed care instructions and our team is always available if anything feels off.
How much do porcelain veneers cost?
The investment depends on what you're hoping to achieve — how many teeth are involved, the complexity of the design, and the approach best suited to your case. As a general range, composite veneers are $700 to $1,200 per tooth, and porcelain veneers are $2,500 to $3,000 per tooth. Every case is quoted after a consultation, where we examine your teeth and understand your goals. You're not just paying for veneers — you're paying for the expertise to design them, the artistry to craft them, and the precision to place them.
Do porcelain veneers damage your teeth?
Traditionally, veneers involved reshaping a significant portion of the front surface of the tooth. We work differently. Every case is planned with the least preparation possible, and many patients are candidates for minimal-prep or no-prep techniques where very little — or no — enamel is altered. That said, porcelain veneers are a long-term commitment: once placed, you'll maintain veneers on those teeth going forward. The more of your natural tooth we can preserve, the better, which is why we take time to examine your teeth and understand your goals before recommending an approach.
Can I see what my smile will look like beforehand?
Yes. Whether through a digital mock-up, a physical mock-up, or your temporary veneers, there's always an opportunity to preview and evaluate the direction before your final porcelain is crafted.
Watch
See It in Action
A look back at a porcelain veneer transformation — five years later.
Ready to Transform Your Smile?
It starts with a conversation about what you want to see when you smile.
From the Journal
Further Reading

Redoing Dental Work
Why so much of it comes back to us — and what redoing it actually involves.
A meaningful share of our work is replacing veneers, crowns, and reconstructions someone else placed. What goes wrong, when it's worth redoing, and how atraumatic laser removal changes the outcome.
Read the guide →
Minimal-Prep Veneers
The modern standard for healthy teeth — and why traditional prep shouldn't be happening anymore.
Why traditional veneer prep is the wrong answer for healthy teeth — what minimal-prep replaced it with, and what to demand from any clinician you trust with your smile.
Read the guide →
No-Prep Veneers
When They're Brilliant, When They're a Disaster
A thorough guide to no-prep veneers — what they really are, who's actually a candidate, and the honest tradeoffs nobody else writes about.
Read the guide →






