Precision Restorations
Dental Crowns & Bridges
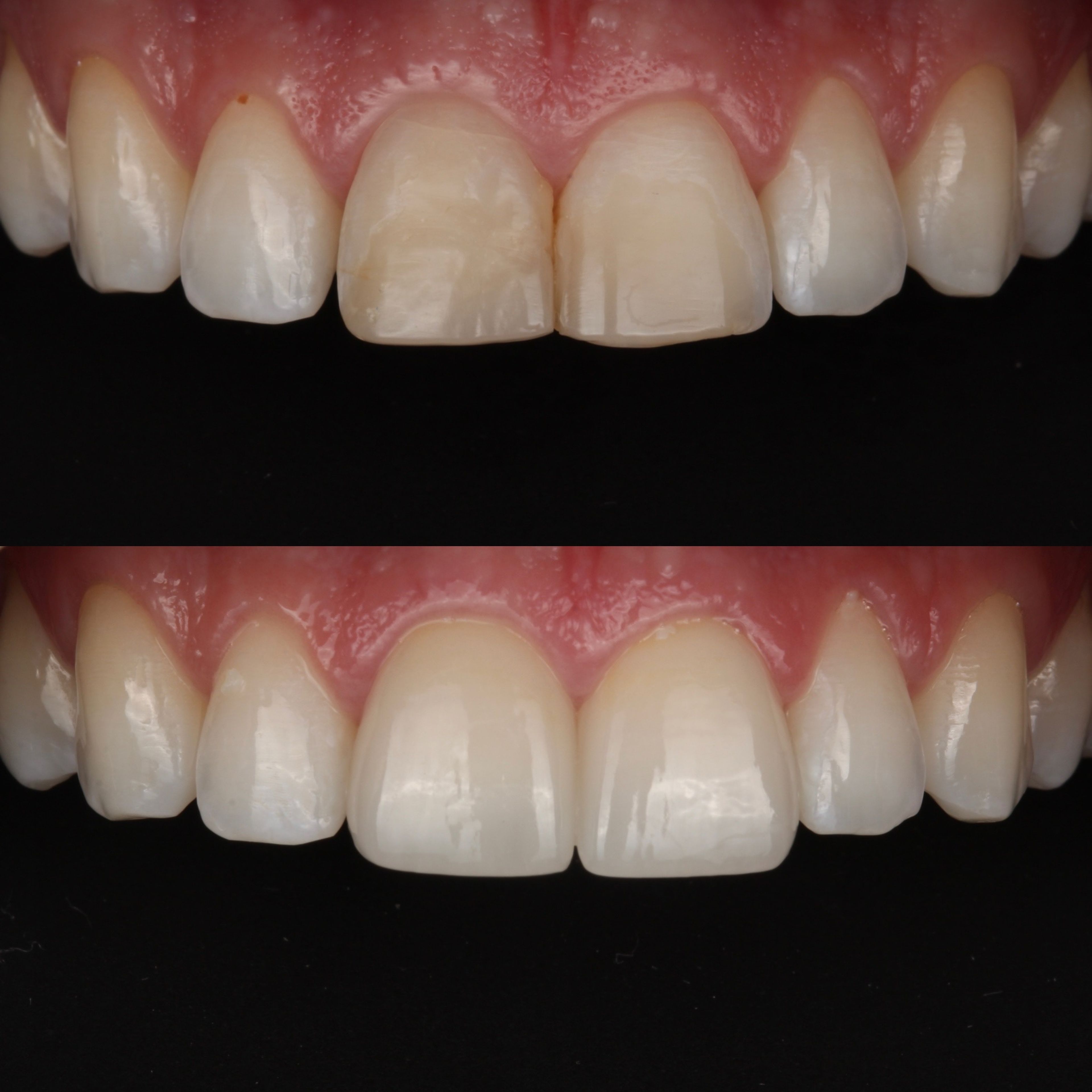
A restoration should look beautiful, fit precisely, and protect your tooth for years to come. Our prosthodontist handles everything from preparation to final placement, using digital technology for accuracy, with each restoration crafted by our in-house lab team.


Our Approach
Precision That Lasts
We use digital impressions to capture your tooth with sub-millimeter accuracy. No messy trays, and far more precise than traditional methods. This accuracy translates directly into how well the restoration fits your tooth, sits in your bite, and seals at the margins.
Our prosthodontist prepares, evaluates, and places each restoration with attention to how it functions in the full context of your bite, not just the individual tooth. The shape, how it contacts neighboring teeth, and how it meets the opposing teeth are all considered so the result feels natural and distributes forces properly.
The final restoration is crafted by our in-house lab team in coordination with your prosthodontist. This is especially important for front teeth, where matching a single crown to the surrounding teeth is one of the most demanding challenges in dentistry. Our ceramists custom shade and stain each restoration to match, something that requires seeing you in person, not working from a photo.
Why It Matters
The Difference Precision Makes
A crown or bridge that doesn't fit well isn't just uncomfortable. It can lead to real problems over time.
Accurate Margins
Where the restoration meets the tooth is critical. Well-fitting margins protect the underlying tooth from bacteria, prevent decay from forming underneath, and support healthy gum tissue around the restoration.
Bite Integration
A restoration that doesn't sit correctly in the bite creates uneven forces, leading to discomfort, wear on opposing teeth, or even fracture. Our prosthodontist evaluates and adjusts the bite relationship to ensure long-term harmony.
Gum Health
Poorly fitting restorations irritate gum tissue and create spaces where bacteria accumulate. A precisely fitting crown or bridge supports the gums rather than working against them, contributing to long-term oral health.
Common Questions
Good to Know
When is a crown needed?
When a tooth has been weakened by a large cavity, a large filling, root canal treatment, a fracture, or significant wear. A crown covers and reinforces the entire tooth, restoring both strength and appearance. Crowns are also used to restore dental implants.
When is a bridge the right choice?
A bridge replaces one or more missing teeth by anchoring to the teeth on either side. Whether a bridge or an implant is the better option depends on the condition of the neighboring teeth and the bone, something we evaluate during your consultation.
What materials do you use?
Primarily zirconia and lithium disilicate. These are advanced ceramics selected based on each tooth's position, the forces it needs to handle, and the aesthetic requirements. Our prosthodontist recommends the best material for your specific situation.
How long do crowns and bridges last?
With proper care, 10 years or more. Longevity depends on the precision of the fit, oral hygiene, and the forces the restoration experiences. Well-fitting margins are especially important for long-term success.
Will it look like a real tooth?
That's the standard. Our lab team matches shade, translucency, and surface texture to your natural teeth. The goal is a restoration that blends seamlessly, not one that stands out.
What's the difference between a crown and a veneer?
A veneer covers only the front surface of a tooth and is primarily cosmetic. A crown covers the entire tooth and restores both strength and appearance. Your prosthodontist will recommend the right approach based on how much tooth structure remains.
Ready to Restore Your Smile?
Whether it's one tooth or several, we'll design a restoration that looks and feels like it was always there.





