Reconstructive Prosthodontics
Full Mouth Reconstruction
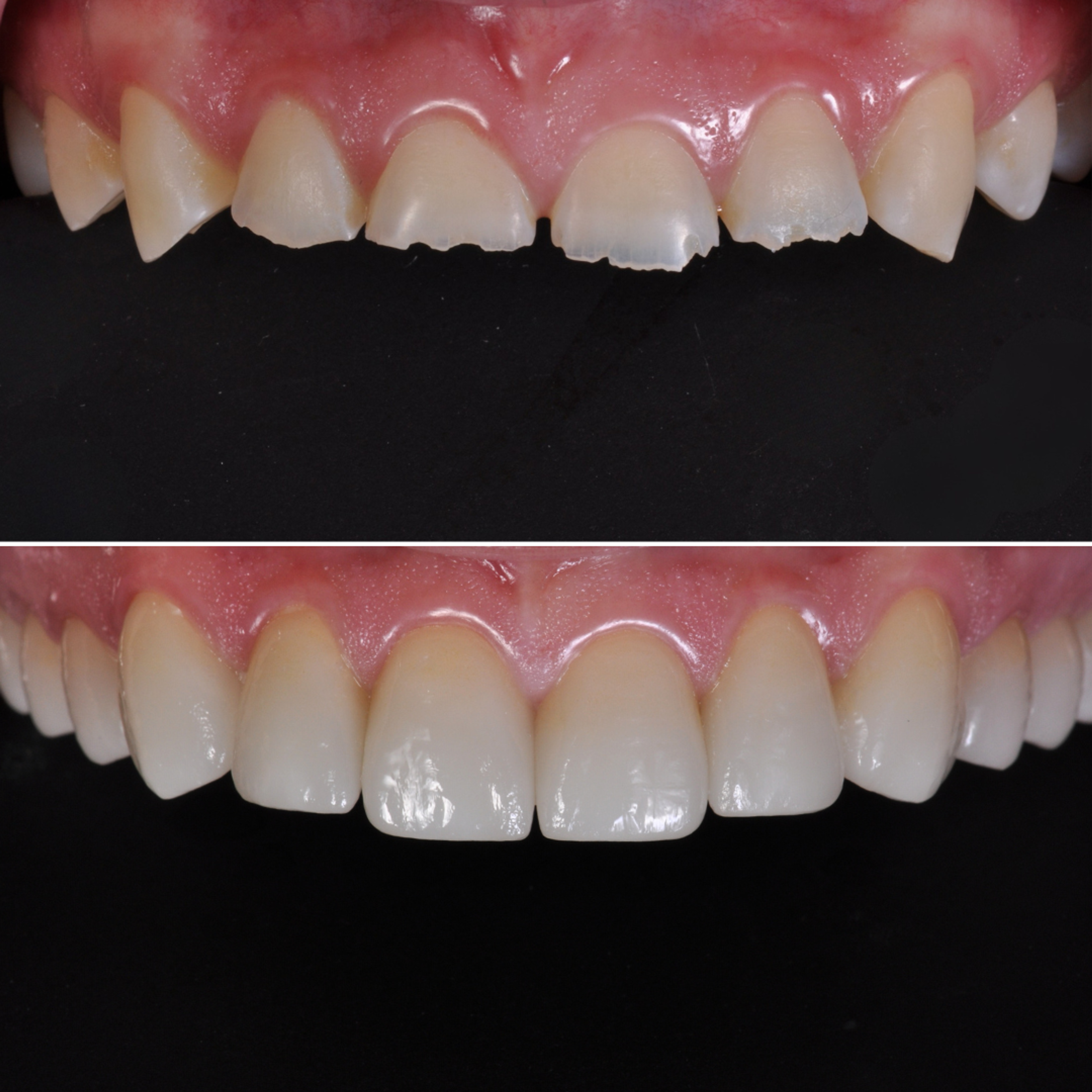
When years of wear, damage, or neglect have taken their toll, reconstruction gives you a second chance. A mouth that functions comfortably and a smile that's beautiful again. A fully digital, prosthodontist-led approach refined over ten years.

Our Approach
A Digital Reconstructive Workflow
Years of grinding, erosion, or acid wear can gradually collapse the bite, leaving teeth shorter, worn, and compromised. Full mouth reconstruction rebuilds not just the teeth, but the bite itself. Our approach uses virtual jaw tracking to map how your jaw moves and determine the ideal bite position, then designs every restoration around that foundation.
This fully digital workflow, developed by our founder, Dr. Faraj Edher, across hundreds of cases over ten years, allows us to plan and execute complex reconstructions with a level of precision and predictability that traditional methods can't match. Patients travel from across Canada and around the world for this approach. We test the new bite before finalizing anything, so the result is validated in real life before your final restorations are crafted.
The outcome is a mouth that functions comfortably, distributes forces properly, and looks beautiful, whether we're restoring the upper arch, lower arch, or both.
Your Journey
The Process
Consultation & Assessment
Our prosthodontist begins with a thorough evaluation: detailed imaging, digital scans, photographs, and a careful clinical exam to understand the full scope of what needs to be rebuilt. If gum treatment or orthodontic alignment is needed as part of the plan, our periodontist or orthodontist is brought in.
Bite & Smile Design
Using virtual jaw tracking, we map how your jaw moves and determine the ideal bite position. This advanced digital workflow, combined with smile design, allows us to plan your reconstruction with precision, addressing how your teeth come together, how they look, and how they function as a system.
Testing the Bite
Before anything is finalized, we test the planned bite position with an appliance or provisional restorations. This phase lets you experience the new bite and aesthetics in real life, and gives us the opportunity to refine before committing to the final result.
Preparation & Temporaries
Once the bite is validated, we prepare the teeth for their restorations. That means removing old restorations, ensuring each tooth is healthy and free of decay, and preserving as much healthy tooth structure as possible. Temporary restorations are placed so you remain comfortable and functional while your final restorations are being crafted.
Final Restorations
Your final restorations, a combination of crowns, partial crowns, onlays, and in some cases veneers, are crafted by our in-house lab in zirconia or lithium disilicate, depending on the functional and aesthetic requirements of each tooth. We can restore the upper arch, lower arch, or both.
Materials & Precision
Built to Last
Every restoration is selected for the specific demands of its position, balancing strength, aesthetics, and preservation of healthy tooth structure.
Zirconia & Lithium Disilicate
We use advanced ceramics selected for each tooth's specific needs: zirconia where strength is critical, lithium disilicate where aesthetics and translucency matter most.
Crafted In-House
Every restoration is crafted by our in-house lab team in direct coordination with our prosthodontist, ensuring fit, function, and aesthetics are refined together, not in isolation.
Common Questions
Good to Know
Does full mouth reconstruction mean removing all my teeth?
No — it's the opposite. Full mouth reconstruction is about keeping your teeth and rebuilding them with restorations like crowns, partial crowns, onlays, and veneers. The goal is to preserve what's healthy and restore what's damaged. If a tooth is truly not restorable, we can replace it with a dental implant or bridge, but the focus is always on saving natural teeth wherever possible.
Who is this for?
Patients whose bite has been worn down over time, whether from grinding, erosion, acid wear, or a combination. Also patients with multiple failing restorations, trauma, or extensive decay. A collapsed or worn bite affects not just appearance, but comfort, function, and long-term tooth survival.
How long does the process take?
A full mouth reconstruction typically takes two to three months. A significant portion of that time is spent in the testing phase, validating your new bite position and making refinements before your final restorations are crafted.
Will I be without teeth during treatment?
No. Provisional restorations are placed at every stage so you always have functional, presentable teeth throughout the process.
Is this just cosmetic?
It's both functional and aesthetic. Reconstruction addresses bite stability, chewing comfort, and structural integrity first, but the beauty of the result comes from building everything on a sound foundation. When function is right, aesthetics follow.
What if I've been avoiding the dentist for years?
Many of our reconstruction patients haven't seen a dentist in years. There's no judgment. What matters is that you're ready now. We'll assess everything honestly and build a plan you feel confident about.
Is sedation available?
Yes. We offer oral sedation for reconstruction procedures, which helps keep you comfortable during longer appointments.
Ready to Start Over?
No matter where you are today, we can build a plan to get you where you want to be.




