Specialist Implant Care
Dental Implants
A missing tooth deserves more than a generic replacement. Our specialists plan every implant digitally, place it with guided precision, and restore it with a crown crafted in our own lab. The result looks and feels like it was always there.


Our Approach
Placed with Precision, Restored with Craft
At most offices, the surgeon places the implant and a different provider restores it, often in a different building, with a different lab, and limited communication between them. At Transcend, the entire process happens under one roof: digital planning, guided placement, and in-house restoration. Patients travel from across Canada and internationally for this integrated specialist approach.
Our periodontist and prosthodontist plan together from the start. The implant position is chosen not just for bone support, but for the ideal emergence of the final restoration. Our in-house lab then crafts the crown or prosthetic to precise specifications, with direct input from the clinicians who know your case.
The result is an implant that's positioned for long-term health and restored for beauty, because both were considered from the beginning.
Your Journey
The Process
Assessment & Digital Planning
We start with a detailed evaluation: 3D imaging, digital scans, and a clinical exam to assess bone quality, gum health, and the ideal position for your implant. Our specialists use this data to plan the surgery digitally before anything happens in your mouth.
Bone Grafting (If Needed)
If bone volume isn't sufficient to support an implant, our periodontist performs grafting to rebuild the site. This step creates the foundation for a stable, long-lasting result. Not every patient needs it. We'll know from your imaging.
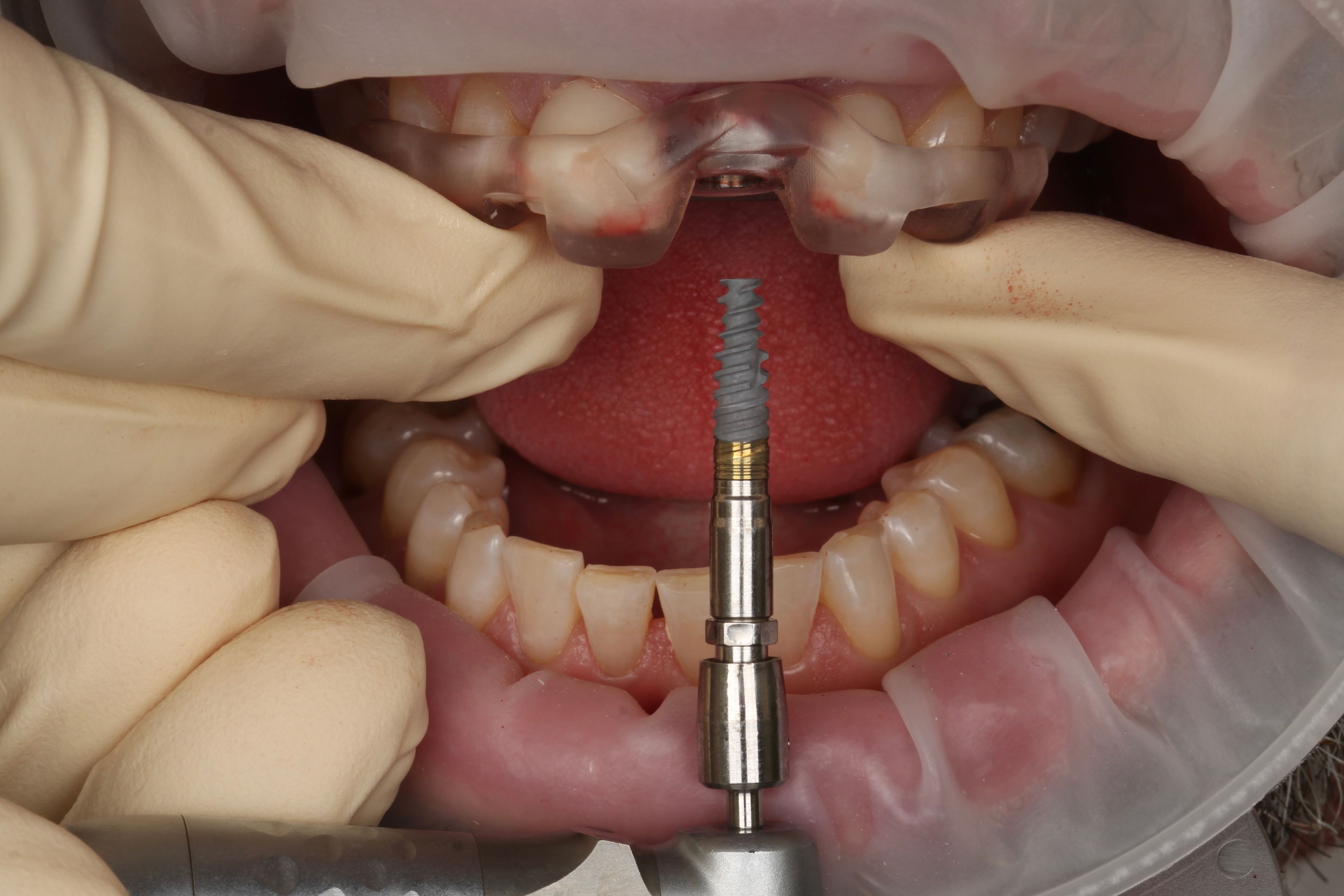
Implant Placement
Using guided surgery, the implant is placed with precision into the planned position. This technology-driven approach means less guesswork, smaller incisions, and more predictable outcomes. A healing period follows while the implant integrates with your bone.
Custom Restoration
Once integration is complete, our prosthodontist designs your final crown, bridge, or prosthetic, and our in-house lab crafts it to match the shade, shape, and texture of your natural teeth. The result looks and functions like the tooth you lost.
Technology & Craft
Digital Precision, In-House Quality
From 3D surgical planning to custom lab-crafted restorations, every step of the implant process leverages technology and craftsmanship to deliver a result that lasts.

Digital Planning & Guided Surgery
Every implant is planned virtually using 3D imaging before surgery begins. A custom surgical guide translates that plan into precise, predictable placement, reducing variables and improving outcomes.

In-House Lab Restorations
Your implant crown isn't sent to a factory. Our ceramists craft it in-house, refining shade, contour, and texture with direct input from your prosthodontist. The final restoration is designed to blend with your natural teeth, not just fit on the implant.
Common Questions
Good to Know
What is a dental implant?
A titanium post placed into the jawbone that serves as a replacement root. Once it integrates with the bone, a custom crown or prosthetic is attached on top. The result is a tooth replacement that looks, feels, and functions like a natural tooth.
Who places the implant and who restores it?
It depends on the case. Our periodontist and prosthodontist both have extensive implant experience. Which specialist leads depends on the complexity, the location, and what other work is involved. In many cases, they collaborate directly.
What is guided surgery?
We plan your implant position digitally using 3D imaging, then create a surgical guide that directs the implant into the exact planned location. This means greater precision, smaller incisions, and more predictable results compared to freehand placement.
Do I need bone grafting?
Some patients do, some don't. After tooth loss, the surrounding bone naturally resorbs over time. If there isn't enough bone to support a stable implant, our periodontist can rebuild the site with grafting. We'll know from your 3D imaging whether this step is needed.
How long does the process take?
From implant placement to final restoration, typically three to six months. Most of that is healing time. If bone grafting is needed, add a few months for that to mature. We'll give you a clear timeline during your consultation.
Why does the in-house lab matter for implants?
The crown or prosthetic on top of your implant is what you actually see and use. Our lab team crafts these restorations in-house, working directly with your prosthodontist to match shade, contour, and emergence profile. The result is a restoration that blends seamlessly with your natural teeth.
What about sedation?
We offer oral sedation for implant procedures. For more complex cases or patients who prefer deeper sedation, we work with partner oral surgery offices that offer IV sedation and general anesthesia.
Ready to Replace What's Missing?
It starts with understanding your situation and building the right plan for you.



