Dental Reconstruction in Vancouver

Advanced dental reconstruction treatments in Vancouver that rebuild function, improve comfort, and enhance long-term oral health.

At Transcend Specialized Dentistry in Vancouver, we provide expert dental reconstruction to restore healthy, functional, and beautiful smiles. Led by Dr. Faraj Edher, our comprehensive dental reconstructions address concerns such as worn, damaged, or eroded teeth. Using advanced technology, high-quality materials, and a personalized approach, we rebuild your bite and deliver lasting comfort, function, and natural-looking results.

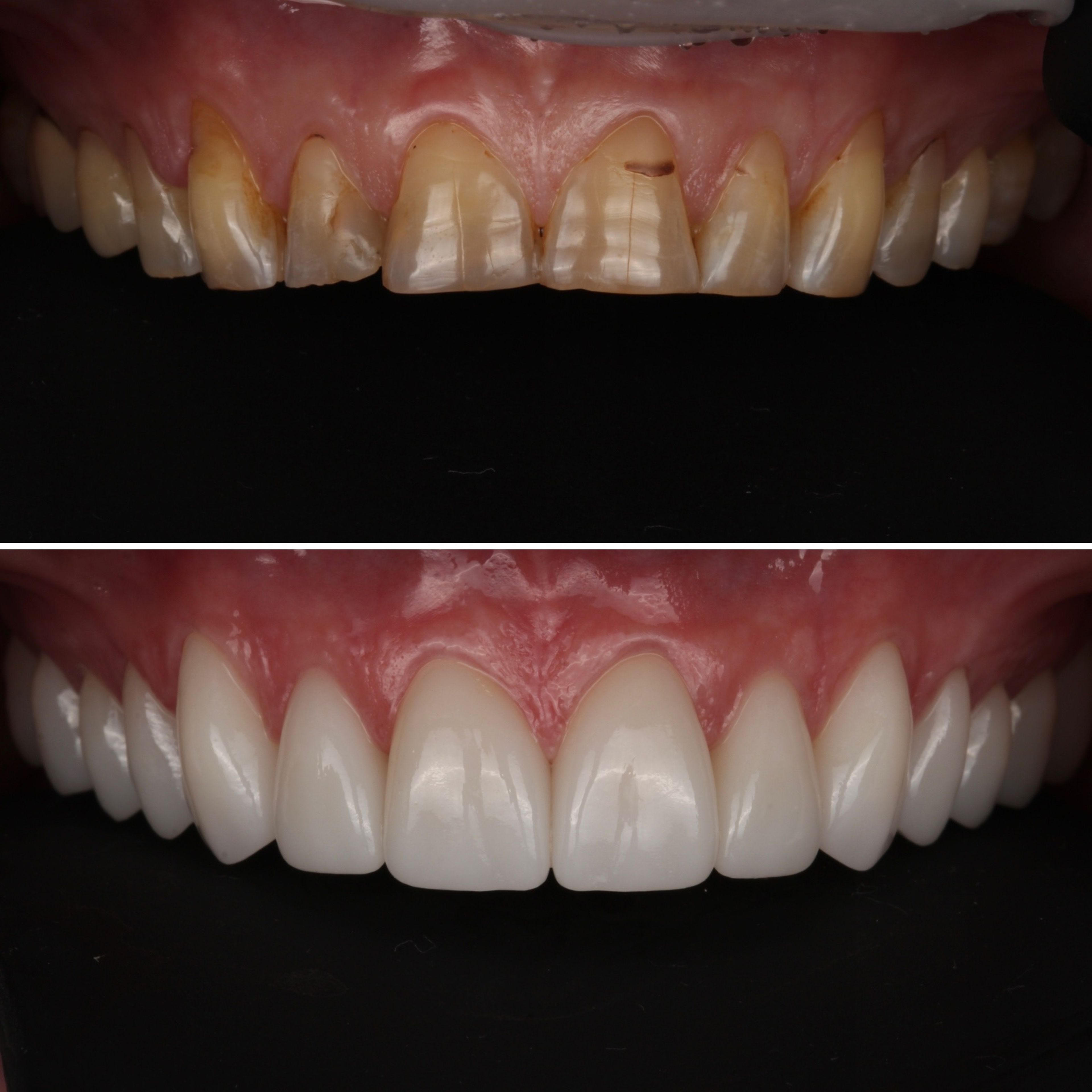
Before and after full mouth reconstruction at Transcend Dentistry in Vancouver, Canada, showing complete dental restoration and smile transformation.

Understanding Dental Reconstruction

Dental reconstructions are comprehensive treatments designed to restore the function, comfort, and appearance of teeth damaged by grinding, erosion, or other dental issues. Causes of tooth erosion include excessive acidity in the diet or certain health conditions. Full-mouth or full-arch dental reconstructions often involve placing crowns on multiple teeth to rebuild a healthy, functional bite and create a natural, beautiful smile.
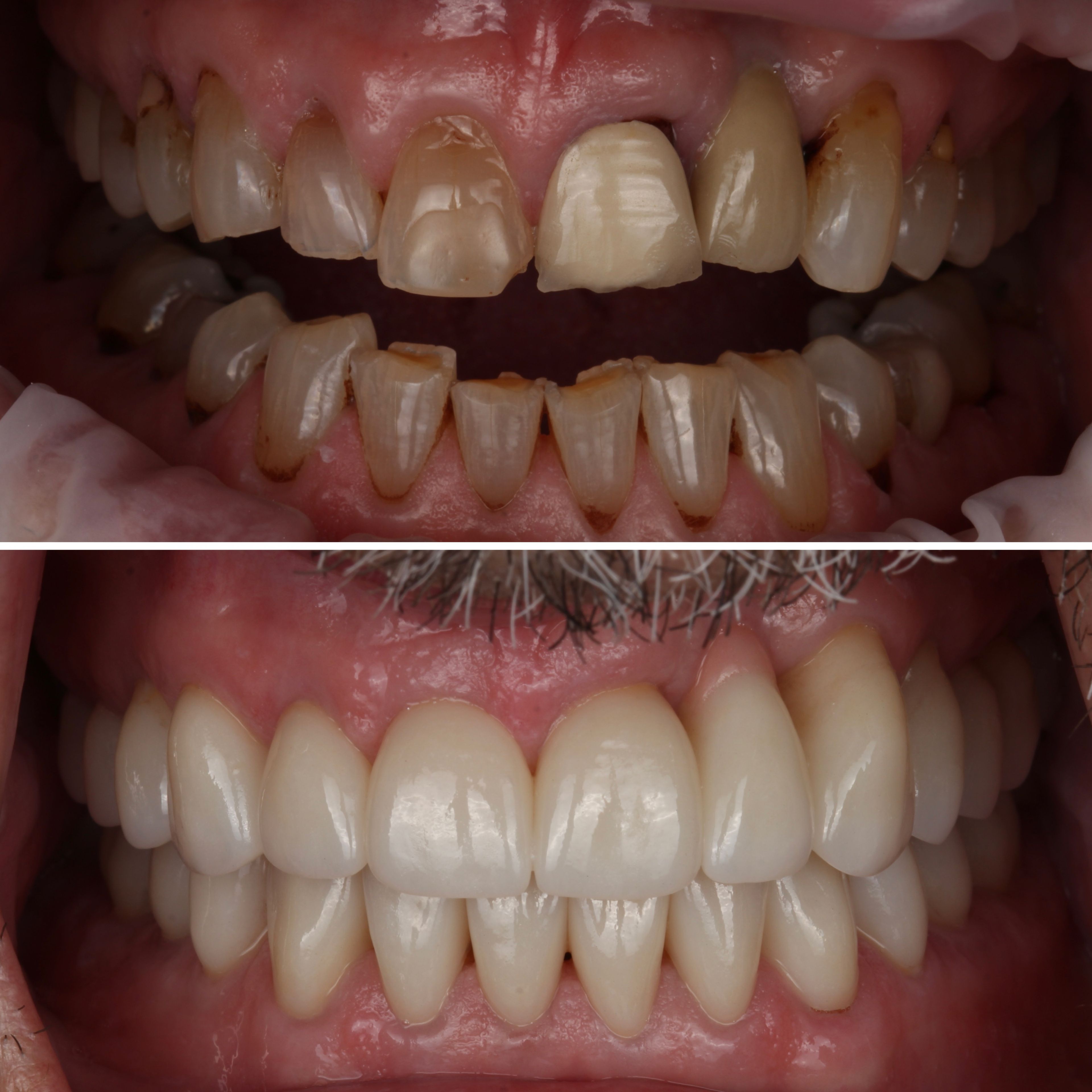
Before and after results of full mouth dental reconstruction at Transcend Dentistry in Vancouver showing restored teeth and improved smile.

Understanding Dental Reconstructions

Dental reconstructions are comprehensive dental treatments aimed at rebuilding and restoring the functionality, comfort, and appearance of teeth that have been damaged by grinding or erosion. Erosion can result from various factors, such as eating disorders or excessive acidity in the diet. Dental reconstructions typically involve placing crowns on all the teeth in an arch or the entire mouth to reestablish a healthy and functional bite relationship.
Virtual smile restoration at Transcend Dentistry in Vancouver showing digital preview of your new smile.
Virtual smile restoration at Transcend Dentistry in Vancouver showing digital preview of your new smile.

The Transcend Dentistry Approach to Dental Reconstruction: Advanced Technology and Personalized Care

At Transcend Specialized Dentistry in Vancouver, our reconstruction process begins with a comprehensive assessment of your unique dental needs, including the causes of tooth damage and wear. We develop a personalized treatment plan using advanced technology and high-quality materials to rebuild your bite and restore optimal function. Utilizing state-of-the-art technology such as 3D imaging, digital treatment planning, and our in-house 3D printing lab, we create custom dental restorations with exceptional precision and efficiency, delivering natural-looking, long-lasting results.

Comprehensive dental exam at Transcend Dentistry in Vancouver to assess oral health and prevent dental issues.

The Dental Reconstruction Process

Our comprehensive dental reconstruction process involves several important steps to ensure the long-term success and satisfaction of your treatment:

Comprehensive dental exam at Transcend Dentistry in Vancouver to assess oral health and prevent dental issues.
Team of dental reconstruction specialists at Transcend Dentistry in Vancouver providing expert smile restoration.”

Unparalleled Expertise in Dental Reconstruction

Dr. Faraj Edher and his team of expert dentists in Vancouver bring unparalleled expertise to every unique case. By understanding your unique needs and goals, we create a personalized treatment plan that restores a healthy, functional, and comfortable bite while enhancing your smile’s aesthetics. 

Collaborating with some of the world’s top ceramists, we ensure that your dental crowns and restorations not only function perfectly but also blend seamlessly with your natural teeth, delivering a harmonious, natural-looking, and visually stunning result.
Team of dental reconstruction specialists at Transcend Dentistry in Vancouver providing expert smile restoration.”

Unparalleled Expertise in Rebuilding Your Smile

Dr. Faraj Edher and his team of dental professionals bring their unparalleled expertise to every dental reconstruction case. Our commitment to understanding your specific needs and goals ensures that we deliver a treatment plan tailored to you, resulting in a healthy, functional, and comfortable bite that also enhances your smile’s aesthetics.

Our collaboration with some of the world’s best ceramists guarantees that your dental crowns not only function optimally but also blend seamlessly with your natural teeth, creating a harmonious and visually appealing result.

 

At Transcend Specialized Dentistry, we believe in the power of a healthy, functional, and beautiful smile to improve your quality of life. Our comprehensive dental reconstructions, backed by advanced technology and personalized care, address the challenges of worn-down teeth and restore your smile’s optimal function

Book Your Dental Reconstruction Appointment

Book An Appointment

By submitting, you agree to be contacted about your request.

While we do not bill insurance directly, we assist patients with submitting claims and pre-authorizations for potential reimbursement from their providers.

Financing options may be available for eligible patients through third-party lenders.

X

Book An Appointment

Book An Appointment

By submitting, you agree to be contacted about your request.

While we do not bill insurance directly, we assist patients with submitting claims and pre-authorizations for potential reimbursement from their providers.

Financing options may be available for eligible patients through third-party lenders.