The technique most patients don't realize they should be asking about
If you have healthy teeth and you're getting veneers purely to improve how your smile looks, there's a real chance someone is going to recommend traditional preparation — removing a meaningful layer of enamel from the front surface of every tooth involved.
That shouldn't be happening anymore.
The materials, bonding, and digital workflow that exist today make traditional prep on healthy teeth unnecessary in nearly every aesthetic case. The right answers are minimal-prep or no-prep, and most of the time it's minimal-prep. This is the article that explains why — and what to demand instead.
Two questions every veneer patient should be asking
Before any conversation about technique, ask yourself two things: are my teeth healthy, and is my goal purely aesthetic?
If yes to both, the conversation should never include traditional prep as an option. The choice is between minimal-prep and no-prep, and that choice is technical, not aesthetic. We'll come back to where no-prep fits in later. The more important point first: traditional prep is what we're here to argue against.
What traditional prep actually involves
Traditional veneer preparation removes a meaningful layer of enamel — often a millimeter or more — across the entire front surface of the tooth. The prep frequently extends past the enamel into the dentin underneath. In the worst cases, teeth get reshaped into pegs — the kind of prep you see in "Turkey teeth" cases online, where the underlying tooth ends up looking like a sharpened pencil before the crown or veneer goes on.
That should never happen when the underlying teeth are healthy and the goal is purely cosmetic. Yet it still does — driven by older techniques, older materials, and clinicians who haven't updated their workflow.
Why dentists used to do this:
- Older porcelain materials needed thicker shells to look right and not break
- Older bonding wasn't strong enough to hold thinner porcelain reliably
- Without digital design and depth control, the only way to ensure room for the veneer was to remove plenty of room for it
- "More prep = more margin for error" was the conservative play for the clinician — even though it was the less conservative play for the tooth
These are historical reasons. They aren't reasons that hold up today.
What's changed (and the case against doing it the old way)
Three things changed cosmetic dentistry in ways most patients don't realize:
Materials. Modern porcelains are stronger and more translucent at thin dimensions than was possible a generation ago. We can use porcelain at thicknesses that would have shattered or looked dead twenty years ago.
Bonding science. The adhesive systems we use today bond porcelain to enamel at strengths that approach the enamel itself. A properly bonded thin veneer is essentially fused to the tooth — it acts like part of the tooth, not like something glued to it.
Digital workflow. Scanning, smile design software, in-mouth mock-ups, and depth-controlled or guided preparation mean we can plan exactly what the final shape will be, and then remove only what's needed to get there. There's no guesswork.
The old assumption — "we need to take a lot off to make this look right" — is no longer true. The same aesthetic result can be achieved with a fraction of the tooth removed.
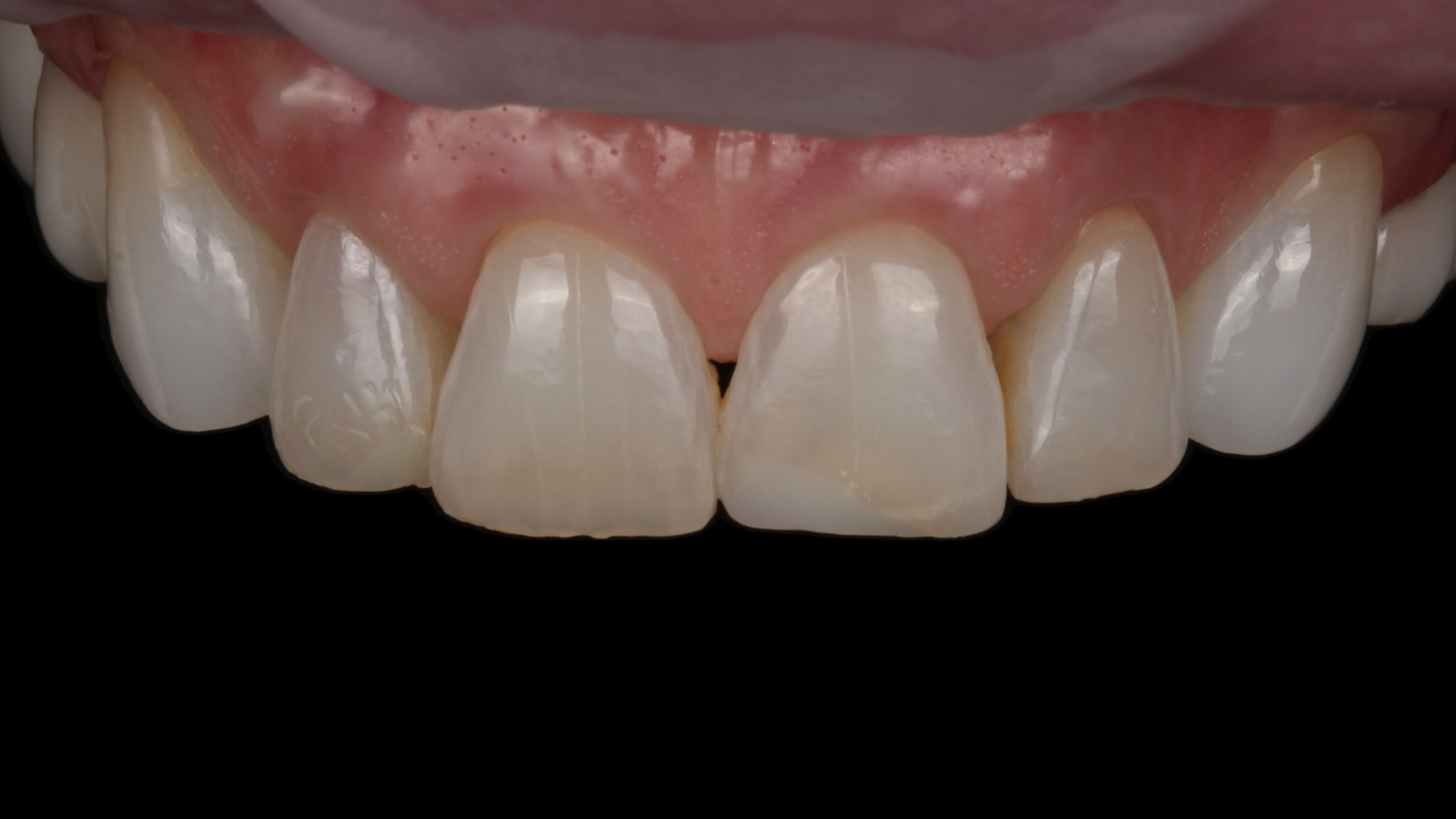
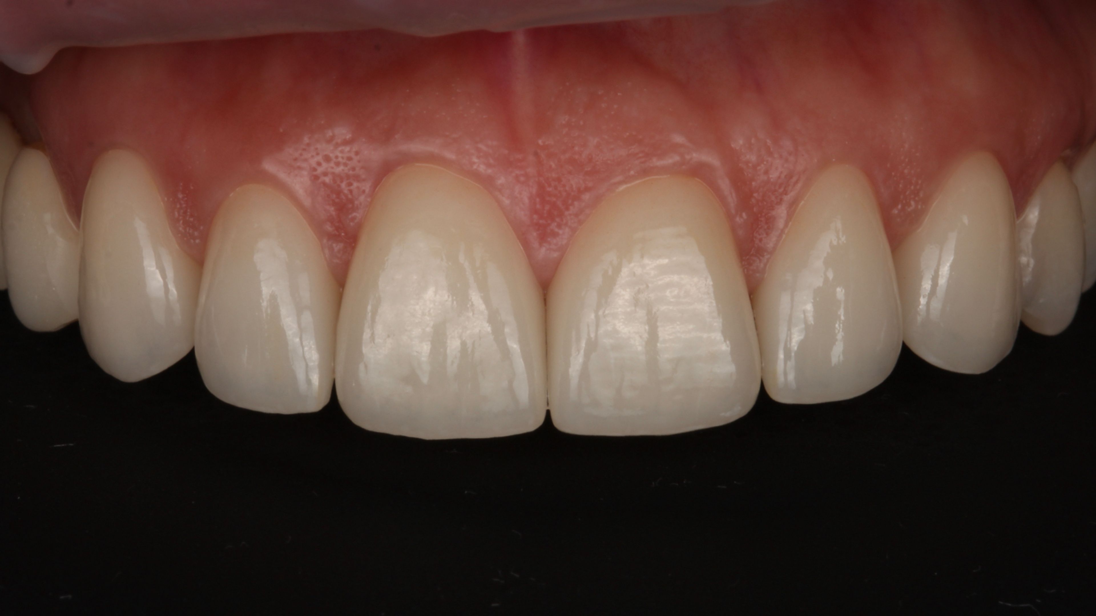
What minimal-prep actually means
Minimal-prep is a gentle reshaping of enamel only, typically less than half a millimeter, and often considerably less. The most important detail: we stay in the enamel layer where possible. The goal is to avoid going into the dentin underneath.
The reshaping is selective — different amounts on different parts of different teeth depending on what each one needs. It isn't a softer version of traditional prep. It's a fundamentally different procedure with a fundamentally different goal: prepare the tooth precisely enough for the veneer to seat, fit, and bond beautifully — and not a fraction of a millimeter more.
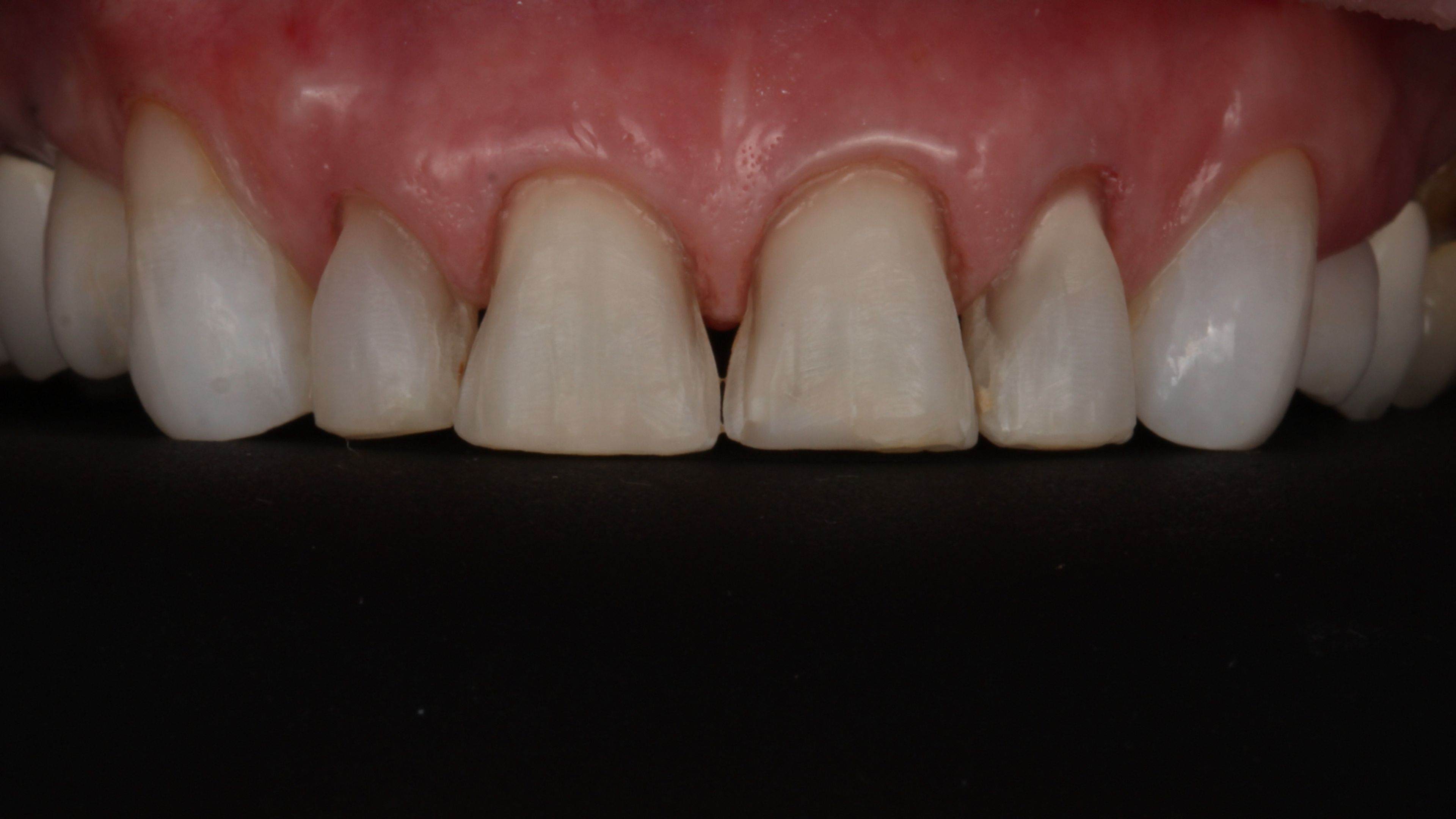
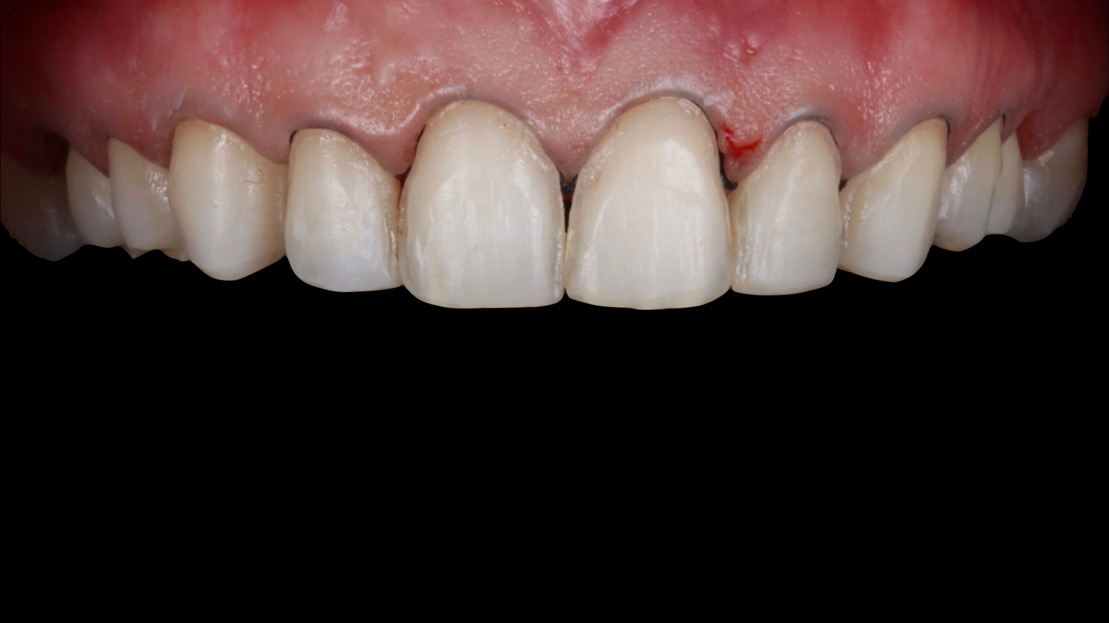
What minimal-prep actually does to a tooth



Why staying in enamel matters
Enamel doesn't grow back. Once the prep crosses into dentin, the tooth is in a permanently different state — and the bond is fundamentally different.
Porcelain bonded to enamel is durable, predictable, and ages well. Long-term studies on enamel-only minimal-prep show excellent outcomes at ten years and beyond. Porcelain bonded to dentin is less reliable; it ages less predictably and is more prone to micro-leakage and other issues over decades.
This is why the line between "in enamel" and "into dentin" matters more than the actual millimeters of prep. Minimal-prep done correctly stays on the enamel side of that line wherever possible. Traditional prep, in many cases, doesn't.
This is the structural argument for keeping prep gentle. It isn't just about how the veneer looks the day it's placed. It's about whether the underlying tooth is still a healthy, well-protected tooth in fifteen years.
How we actually prepare the tooth
This is the part most patients don't realize matters until they understand it.
The old way: clinician estimates by feel and experience, removes what looks right, and bonds the porcelain afterward. The result depends almost entirely on how well that particular clinician's eye and hand happen to be calibrated that day.
The modern way:
- A digital scan of the patient's teeth captures their starting position with sub-millimeter accuracy.
- Smile design software is used to plan the exact final shape, length, and proportions of every veneer in the case.
- A mock-up is placed directly on the patient's teeth so we can see — and they can see — the planned result before any drilling.
- Selective preparation is then guided by that design: different amounts at different points on each tooth, never a uniform sweep across the front surface.
- Depth-controlled or computer-guided drills make sure the prep stops exactly where it needs to, never deeper.
- The prep is verified against the plan before bonding to confirm everything matches.
Every fraction of a millimeter is intentional. Nothing is approximated. This is the level of control that makes minimal-prep work, and it's the level of control that makes traditional prep obsolete for aesthetic cases on healthy teeth.
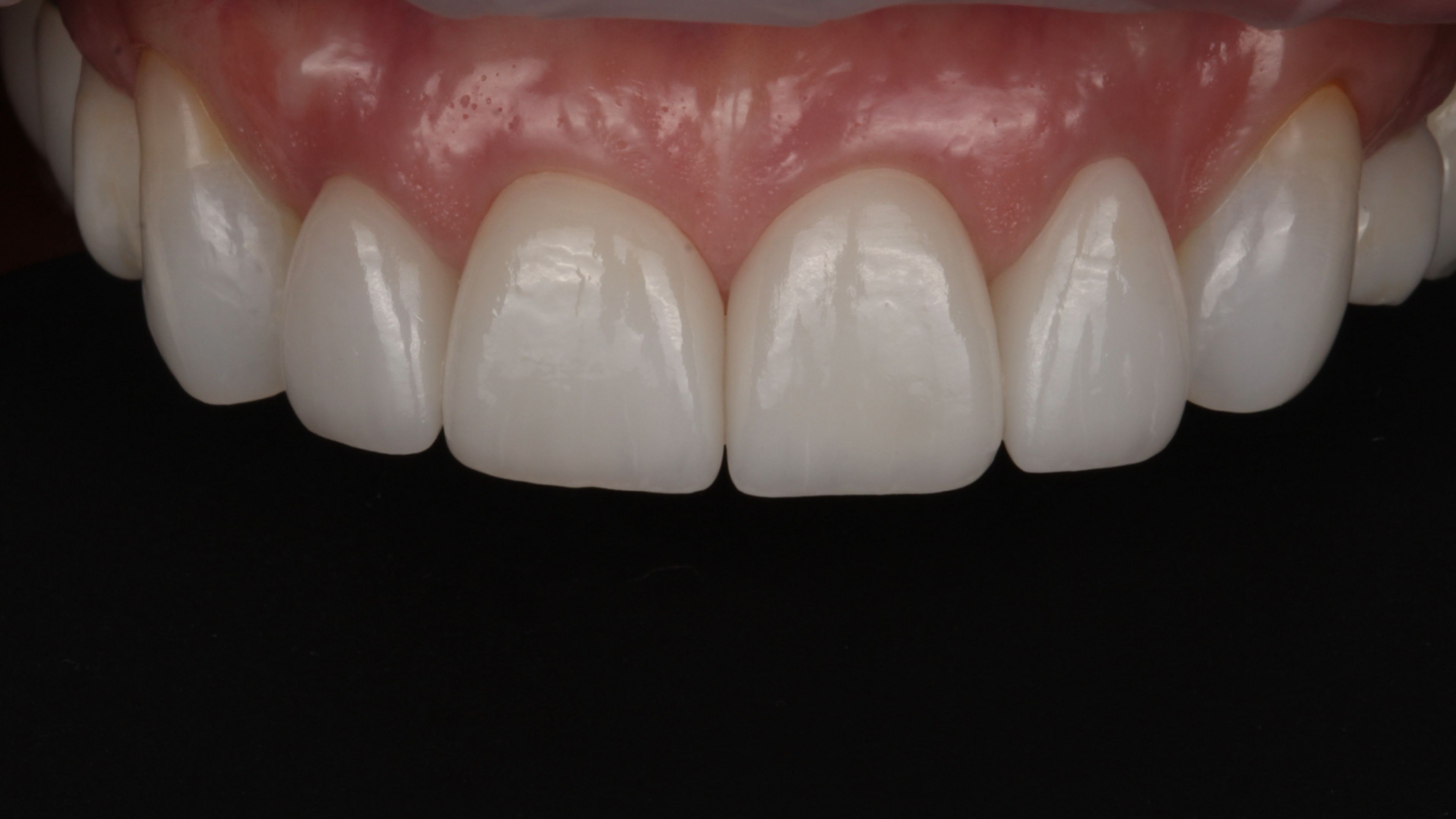
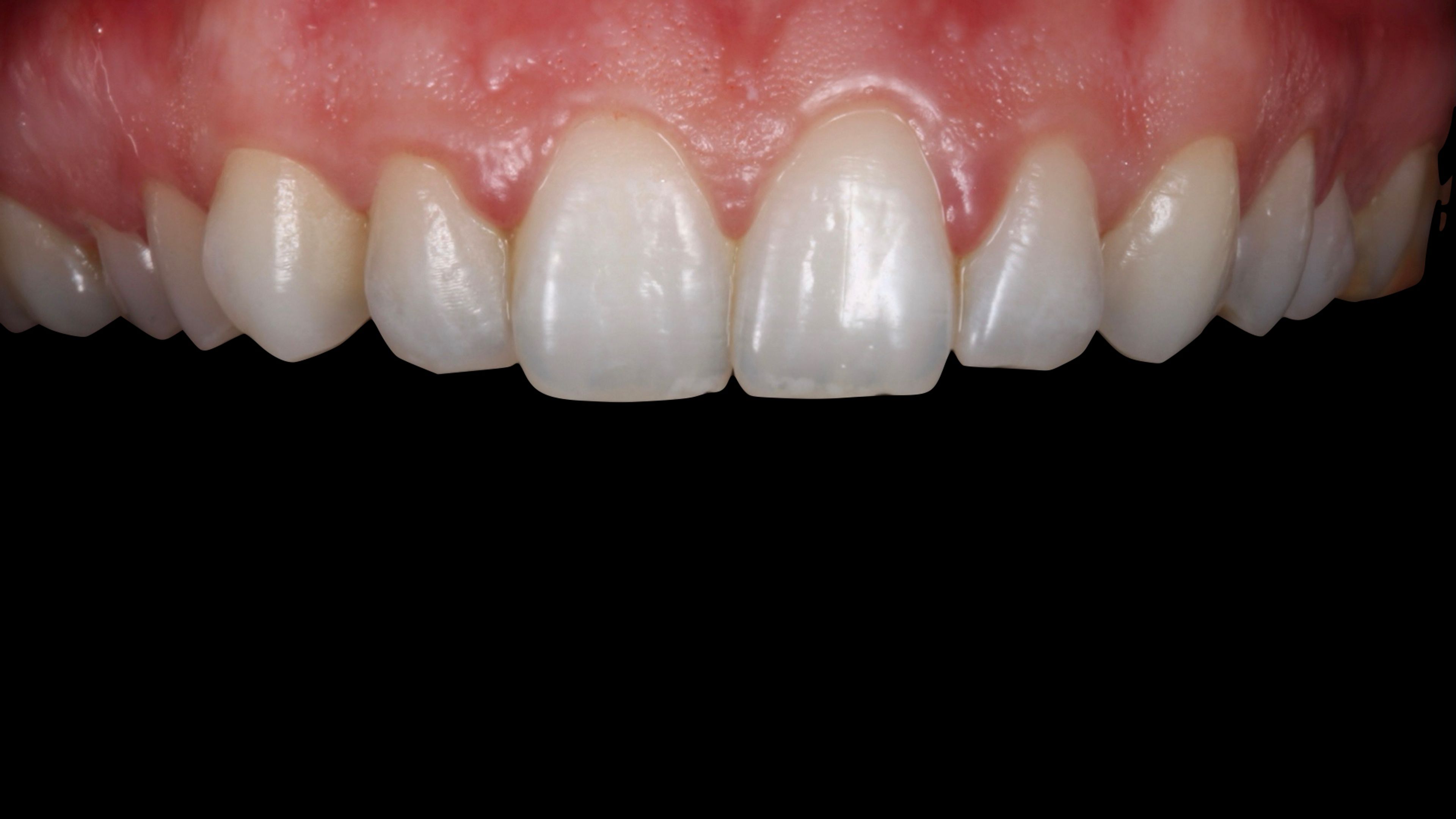
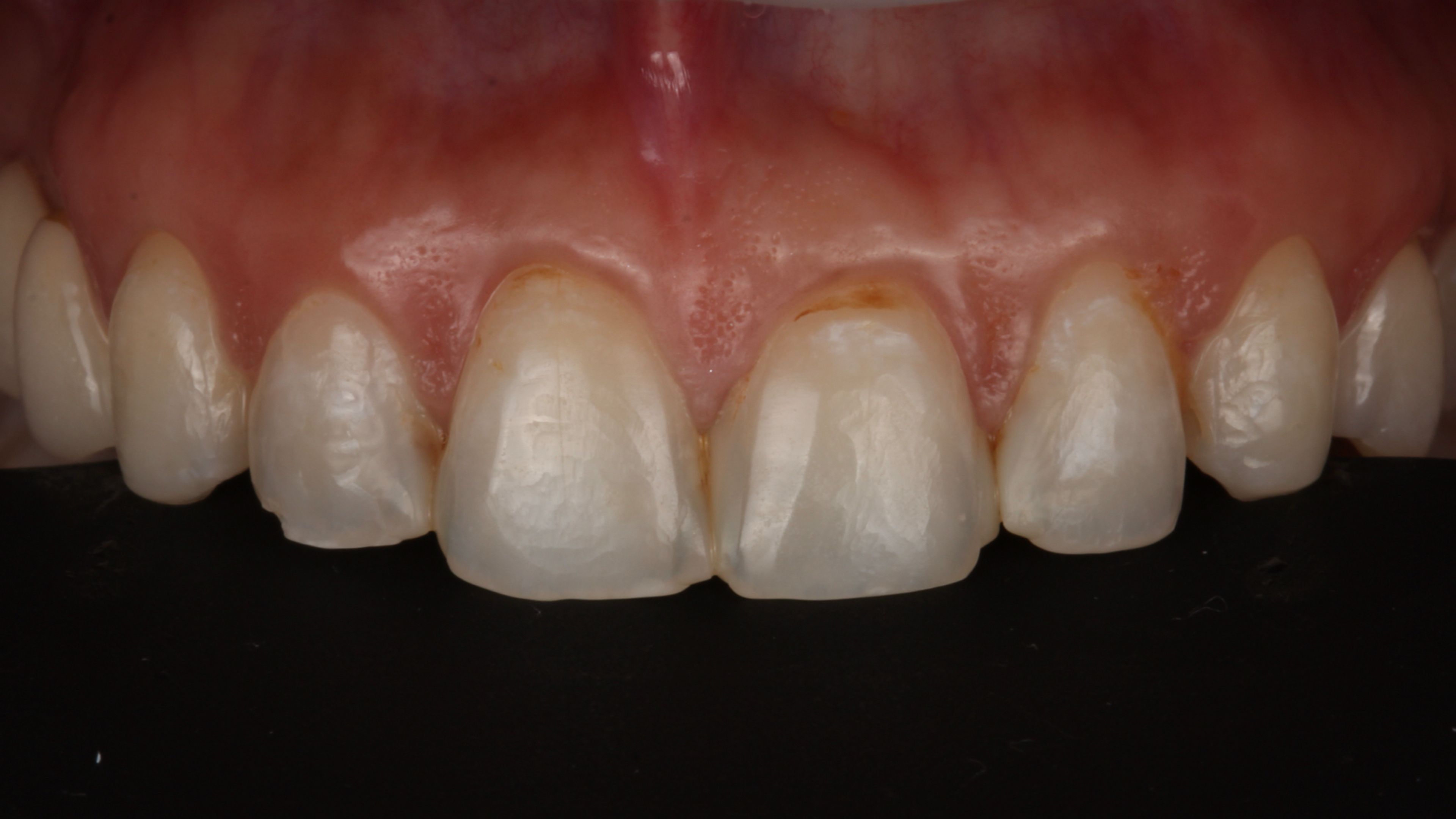
Another example, same approach



The bonding step nobody talks about
Even with perfect preparation and beautifully crafted porcelain, the bond is what holds it all together for the long term. A poorly executed bond compromises everything that came before it.
Modern adhesive protocols are specific, technique-sensitive, and unforgiving of shortcuts. The clinician's discipline at this stage matters as much as their discipline at the prep stage. A clinic that rushes the bond — or relies on protocols that worked twenty years ago — gives you porcelain that won't last the way it should, regardless of how good the preparation was.
This is one of the silent variables in cosmetic dentistry quality. A great clinician can describe their bonding protocol in detail, including which adhesive system they use and why. If a clinic is vague about this part of the process, that's a signal.
A word about no-prep
For completeness: no-prep is the most conservative approach, where we don't reduce the tooth at all. (We cover it in detail in a separate guide.) It's the right answer for cases where the goal is purely additive — closing gaps, adding length to short teeth, building out undersized teeth.
For most other aesthetic veneer cases, minimal-prep is the right call. A fraction of a millimeter of prep lets us address shape, color, and position changes that no-prep can't deliver — without crossing into the territory of traditional prep.
The important point: both no-prep and minimal-prep produce final results that look the same to the patient and to anyone looking at the smile. The choice between them is technical, not aesthetic. Either is a fundamentally different conversation from traditional prep.
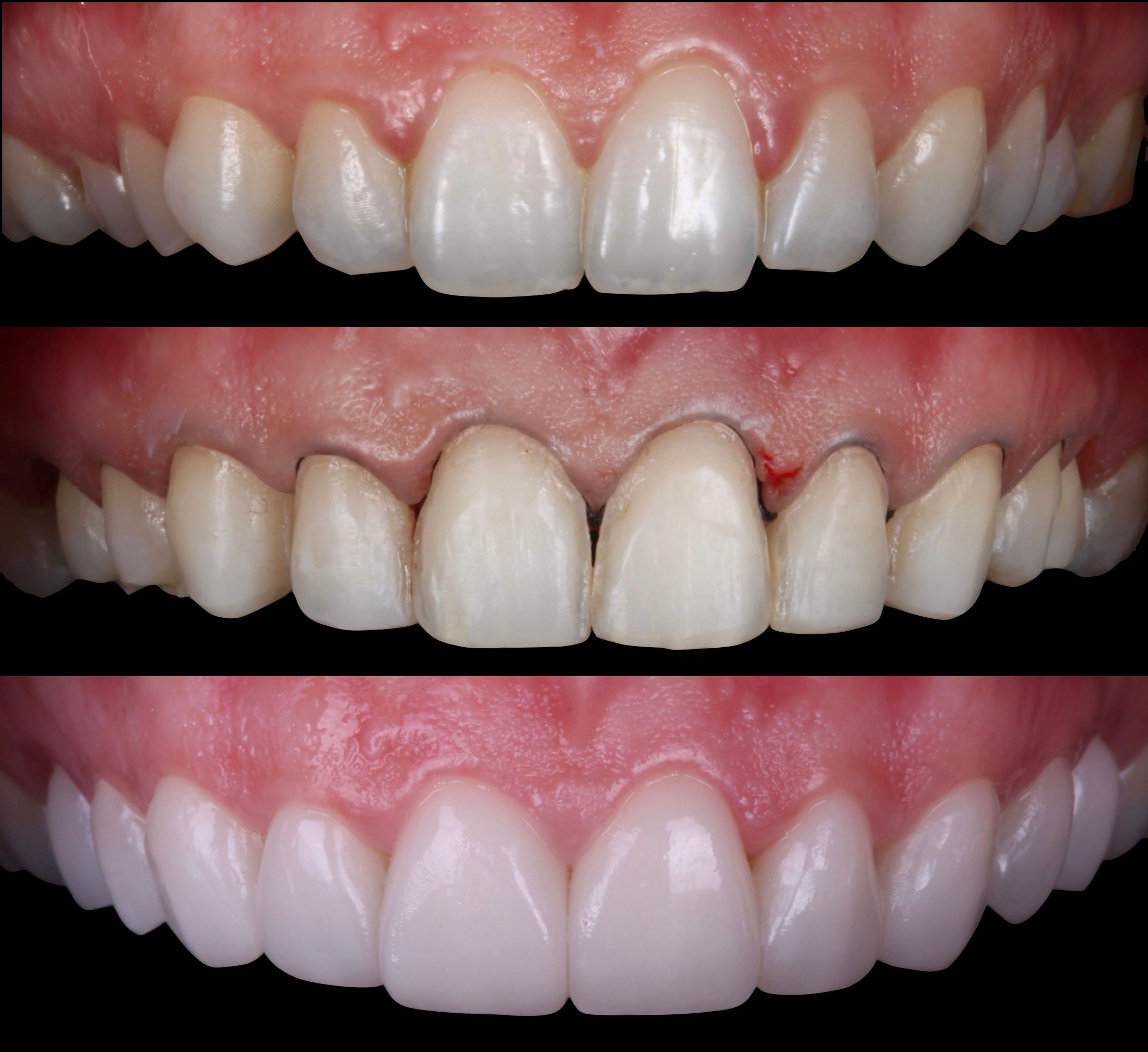
The process, step by step
Every practice runs this slightly differently. Here's how a typical minimal-prep case goes at our practice, start to finish.
The consultation.
We start with a conversation, not a clinical exam. What do you want to see when you smile? What bothers you when you look in the mirror? Are there photos of your younger smile, or smiles you admire, that you can show us? Then we evaluate — your teeth, your gums, and how your smile sits within your face.
Design and mock-up.
Before any tooth is touched, we design the smile digitally. Proportions, length, shape, position of every veneer — all mapped out. Then we place a mock-up directly on your teeth so you can see and feel the planned result. If something needs to change, this is the moment to change it.
Preparation.
This is the visit where the actual minimal prep happens, done under local anesthetic. Guided by the digital design, we remove only what each tooth needs at each location — never more.
Temporaries.
You leave the same day with provisional veneers approximating the planned final shape. We cover this in detail in the next section because it matters more than most patients realize.
Final fabrication.
Your veneers are crafted in our in-house lab. Our ceramists work in direct collaboration with your prosthodontist, refining shade, translucency, and shape until the final pieces are exactly what was designed. Usually a few weeks.
Try-in.
When the veneers are ready, we try them in first — they're not bonded permanently yet. You can see them, sit with them, and tell us if anything still needs to change.
Final bonding.
When everything is right, the veneers are bonded individually using the adhesive protocols described above. The final step is polishing the margins so they're seamless to the eye and the tongue. You walk out with your final smile that day.
One process, four stages




Temporaries as a test drive
The temporary phase is one of the most underrated advantages of the minimal-prep workflow — and it's something no-prep cases sometimes skip. Treat it as a test drive.
For two to three weeks, you wear provisional veneers in roughly the planned final shape while your final porcelain is being crafted. During that time, you're not just waiting. You're road-testing the design.
What to evaluate during this period:
Aesthetics. Does the shape, length, and proportion feel right when you smile in photos? In the mirror? In different lighting? Does the smile feel like yours, just better?
Function. How do they feel when you eat? When you speak? When you smile naturally? Any tooth that catches?
Comfort. Any sensitivity, anywhere? Any spot that bothers you?
Patients give us specific feedback during this period — "I want them slightly shorter," "the right central feels too prominent," "they look great but the bottom edges feel rough" — and we incorporate it into the final fabrication. This is the moment when the design becomes truly yours.
A good clinician welcomes this feedback. A great one expects it.
What it's like after
For the first day or two after the final bonding, the new contours feel different. Mild sensitivity is common in the first one to two weeks — cold drinks especially. Most of it fades within a couple of weeks. By the end of the first week, the veneers feel like part of you.
Cleaning routine: regular brushing and flossing, plus a serious commitment to professional cleanings every three to six months. The hygienist will know how to clean around veneers without scratching the porcelain. (If you go elsewhere, mention you have veneers — not every hygienist defaults to the right tools.)
Long-term: with proper care, ten years or more is a realistic expectation. Some cases last considerably longer. Well-executed enamel-only minimal-prep cases age better than many traditional-prep cases because the bond is to enamel and the tooth structure underneath is mostly intact.
Things that shorten the life of veneers: clenching and grinding without protection (we'll often recommend a night guard), using teeth as tools, biting hard objects, and inconsistent maintenance. None of these are unique to minimal-prep — they apply to any cosmetic work.
The honest tradeoffs
Even though minimal-prep is the right answer for most healthy-teeth aesthetic cases, it isn't free of tradeoffs. Worth knowing going in:
Some enamel is removed. Less than traditional prep — much less. More than no-prep. A fraction of a millimeter.
The change is permanent. Those teeth will always have veneers on them going forward.
The technique is demanding. Less margin for error means the clinician needs to know exactly what they're doing — and have the discipline to stop where the plan said to stop.
Temporaries are part of the workflow. You'll have a test-drive phase before the final porcelain. We see this as a feature; some patients see it as another visit.
For the right candidate, none of these are reasons against minimal-prep. They're reasons to go in informed.
What to ask before you commit
Standard questions for any cosmetic veneer consultation: candidacy, design, lab, longevity, cost, clinician credentials, and whether they can show you photos of their own patients two-plus years after placement. (Same questions we covered in the no-prep guide.)
Plus these prep-specific questions. These are what separate a clinic doing minimal-prep correctly from a clinic that calls it minimal-prep but is really doing something closer to traditional:
- How are you preparing my teeth — what tools and what techniques?
- Are you using computer-aided design to plan the preparation, or are you estimating by feel?
- Will you do a mock-up directly in my mouth before any drilling?
- Do you use guided preparation or depth-controlled instruments?
- How are you making sure you stay in enamel where possible and don't go into dentin unnecessarily?
- Approximately how much enamel will you remove from each tooth, and how do you decide?
- What does the temporary phase look like? Will I have a real test-drive period?
- Will my feedback during the temporary phase get incorporated into the final, or is the design locked once preparation is done?
- What's your bonding protocol? Which adhesive system do you use, and why?
- Can I see photos of your own minimal-prep patients two or more years after placement?
If a clinician's answers to these are vague, ask again. If they're still vague, that's data.
The bottom line
For a patient with healthy teeth seeking veneers purely for aesthetic improvement, traditional preparation is the wrong answer. The modern standard is minimal-prep — gentle, enamel-where-possible, digitally planned, depth-controlled — or no-prep where it fits. The aesthetic result is the same. The cost to your tooth structure is dramatically less.
The technique matters. But the clinician using it matters more. A clinic still doing aggressive traditional prep on healthy teeth is using an outdated playbook. The first thing your consultation should establish: minimal-prep or no-prep. Anything else, in this category of case, deserves a second opinion.
If you're researching this topic and trying to figure out where you fall, the next step is a conversation. We can look at your teeth, talk through your goals, and tell you which approach is right for you.





